Bài tuyên truyền cách phòng, chống bệnh sâu răng ở lứa tuổi học đường.
Bệnh răng miệng hay gặp nhất ở tuổi học đường là bệnh sâu răng sữa và viêm lợi (viêm lưỡi). Sâu răng sữa xuất hiện ở các em học sinh chưa hoặc bắt đầu thay sang răng vĩnh viễn. Đi cùng với bệnh sâu răng sữa là tình trạng viêm lợi. Ngoài ra tình trạng khi các em học sinh đến tuổi thay răng không được chăm sóc tốt dẫn đến răng bị sâu, răng bị sún làm cho các em có hàm răng vĩnh viễn mọc lệch lạc ảnh hưởng đến thẩm mỹ. Nếu không được phát hiện sớm hoặc kịp thời các bệnh răng miệng có thể gây biến chứng nguy hiểm như viêm xương tủy hàm, nhiễm trùng lan tỏa, nhiễm trùng máu,… ảnh hưởng đến sức khỏe học tập của các em.
Sâu răng” là một cách khác để nói về răng bị hư. Bệnh sâu răng bị ảnh lớn từ lối sống – thực phẩm chúng ta ăn, phụ thuộc vào cách chăm sóc răng miệng, nồng độ Fluor có trong nước và kem đánh răng. Yếu tố di truyền cũng đóng vai trò quan trọng trong việc răng của bạn dễ bị sâu hay không.

Răng bị sâu sẽ ê buốt khi có kích thích nóng lạnh, chua ngọt, khi lỗ sâu tiến sát tủy răng thì tủy răng sẽ bị viêm, bệnh nhân bị đau tủy răng từng cơn. Để phát hiện sâu răng, tất cả mọi người cần đi khám răng định kỳ 6 tháng 1 lần để kiểm tra có bị sâu răng không và chữa kịp thời. Lỗ sâu nằm trên mặt nhai, mặt ngoài và mặt trong của răng thì dễ phát hiện khi khám lâm sàng, lỗ sâu ở mặt tiếp giáp của hai răng thì khó phát hiện hơn, nhiều trường hợp cần chụp Xquang hoặc CT để chẩn đoán.
Có 3 yếu tố quan trọng gây bệnh sâu răng là vi khuẩn, đường (trong thức ăn) và thời gian.
+ Vi khuẩn gây bệnh sâu răng tồn tại và bám trên bề mặt răng nhờ lớp mảng bám răng
+ Đường trong thức ăn và đồ uống. Vi khuẩn sử dụng đường để tạo và phát triển các mảng bám răng. Đồng thời chúng tiêu hoá đường để tạo a-xit, ăn mòn dần các chất vô cơ ở men răng và ngà răng, làm thành lỗ sâu.
+ Thời gian vi khuẩn và đường tồn tại trong miệng: Nói chung vi khuẩn luôn tồn tại trong miệng. Còn đường thường tồn tại từ 20 phút đến khoảng 1 giờ trong miệng sau khi ăn, tuỳ thuộc vào hình thức chế biến trong thức ăn (đặc quánh hay lỏng, loãng).
Bệnh sâu răng chỉ diễn ra khi cả 3 yếu tố trên cùng tồn tại !!! Vì thế cơ sở của việc phòng chống bệnh sâu răng là ngăn chặn 1 hoặc cả 3 yếu tố xuất hiện cùng lúc.
Còn một yếu tố thứ tư không kém phần quan trọng là bản thân người bệnh. Các yếu tố chủ quan như tuổi tác, bất thường của tuyến nước bọt (khô miệng, thiếu nước bọt), bất thường bẩm sinh của răng có thể khiến cho khả năng mắc bệnh sâu răng tăng cao và tốc độ bệnh tiến triển nhanh.

Để phòng bệnh, mọi người cần phải chải răng sau mỗi bữa ăn hoặc ít nhất 1 lần trong ngày sau bữa tối, tránh ăn vặt nhất là ăn vặt đồ ngọt, chải răng đúng cách là việc quan trọng để làm sạch hoàn toàn các răng, nên để lông bàn chải nghiêng trên mặt ngoài (hoặc mặt trong) một góc 45 độ, chải hất về phía mặt nhai hoặc rìa cắn, chải từng nhóm răng tới khi sạch, đối với mặt nhai thì đơn giản hơn, chỉ cần đặt lông bàn chải vuông góc với mặt răng và kéo qua kéo lại.
Dùng thuốc chải răng có fluoride, fluoride kết hợp với hydroxy apatid có trong men răng có tác dụng làm cho men răng cứng hơn, do vậy chống đỡ với vi khuẩn và acid tốt hơn.
Dùng chỉ nha khoa làm sạch kẽ răng: các kẽ răng thường vẫn còn đọng thức ăn sau khi chải răng, bởi vậy các bạn nên sử dụng chỉ nha khoa sau khi chải răng, cách dùng như sau: bạn lấy một đoạn chỉ nha khoa dài khoảng 40cm, quấn chặt vào hai đầu ngón tay giữa cho tới khi cách nhau 10cm, dùng hai ngón trỏ căng sợi chỉ, dùng ngón trỏ trái hoặc phải ấn sợi chỉ vào kẽ răng còn dắt thức ăn, kéo ngang 1cm, thức ăn sẽ ra theo sợi chỉ.
Những người bị tụt lợi dẫn đến hở cổ và chân răng nhiều và thưa răng cần dùng thêm bàn chải kẽ răng để làm sạch mặt tiếp giáp giữa các răng. Những răng mọc lệch lạc cần được chỉnh cho đúng vị trí vì răng mọc lệch bị bám thức ăn nhiều hơn làm tăng nguy cơ sâu răng. Tránh ăn vặt đồ ngọt nhiều lần, nên ăn thành bữa và chải răng sau bữa ăn. Khám răng định kỳ 6 tháng 1 lần để phát hiện răng sâu và chữa kịp thời.

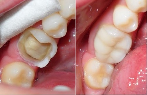
Một số hình ảnh răng bị sâu răng
Trên đây là môt số kiến thức về bệnh sâu răng, cách điều trị và dự phòng, hy vọng các em học sinh sẽ chăm sóc răng miệng thật tốt để hàm răng sạch đẹp, miệng thơm tho.
Nhân viên y tế Trường Tiểu học Thủ Lệ